こざわ犬猫病院

猫の肥大型心筋症

猫の肥大型心筋症 について

最終更新日 : 2026年4月1日

猫の心臓病「猫の肥大型心筋症」は突然死のリスクも。最新治療の光とは?

国内唯一の治療選択肢

「治らない」と諦める前に。ラパマイシンによる心筋再構築への挑戦

猫の肥大型心筋症は、これまで進行を遅らせることしかできないと考えられてきました。当院では、最新の知見に基づき、心筋の肥大抑制と機能回復を目指す「ラパマイシン」の処方を行っています。

  • ✅ 国内で唯一、本治療法を臨床導入
  • ✅ 心筋の厚みの改善を目指す根本的なアプローチ
  • ✅ 早期発見・早期介入による「健康な寿命」の延伸
猫の肥大型心筋症(HCM)の進行を抑える新薬ラパマイシンの効果を4ステップで解説。過剰なmTOR活性をブロックし、心筋が厚くなるのを根本から抑制する仕組みを紹介しています。名古屋周辺で「心筋症と診断されたが、より高度な治療を検討したい」という飼い主様へ、エビデンスに基づいた最新の選択肢を提案します。
「心臓の壁が厚くなっている」と診断され、不安な日々を過ごしていませんか? 猫の肥大型心筋症(HCM)は、これまで「症状を和らげる」対症療法が中心でした。しかし今、「心筋が厚くなる仕組みそのもの」にブレーキをかける治療に注目が集まっています。 ​画像にある通り、新薬ラパマイシンは心筋肥大を引き起こす「mTOR(エムトール)」という経路の過剰な働きをブロックします。 ​健康な心臓から ​**HCM発症(mTORの過剰活性)**を防ぎ ​ラパマイシンが直接介入することで ​心筋肥大を抑制・改善へと導きます。 ​当院は名古屋市を中心に、愛知・岐阜・三重エリアの猫ちゃんの心臓病ケアに力を入れています。「今の治療を続けながら、さらにできることはないか?」とお悩みの飼い主様、ぜひ一度相談ください。

「さっきまで元気だったのに」猫の肥大型心筋症の恐ろしさ

愛猫が「突然死」する――。それは、飼い主さんにとって想像を絶する悲劇です。しかし、この悲しい出来事の影には、猫の肥大型心筋症という病気が潜んでいることがあります。

猫の肥大型心筋症は、心臓の筋肉が異常に分厚くなってしまう病気です。猫の15~30%が罹患すると言われるほど、決して珍しい病気ではありません。心臓が分厚くなることで、全身に血液を送り出す力が弱まり、様々な症状を引き起こします。そして、つい先ほどまで元気そうに見えていた猫が、前触れなく突然亡くなってしまうケースも少なくありません。

初期には目立った症状がなく、気づきにくいのがこの病気のやっかいな点です。

【救急チェック】猫の肥大型心筋症・緊急サイン
1. 突然、後ろ足が動かなくなり痛がる
血栓塞栓症の典型症状です。足が冷たくなり、激しく鳴く場合は最優先の救急事態です。
2. 口を開けて「ハァハァ」と苦しそうに呼吸する
猫が口呼吸をするのは非常に危険な状態です。肺水腫や胸水が強く疑われます。
3. 舌や口の中が紫・白っぽい(チアノーゼ)
酸素が全身に回っていません。朝まで待たず、直ちに酸素吸入が必要です。
4. 突然ぐったりして倒れる、失神する
不整脈や血圧低下による失神です。心停止に至るリスクが極めて高い状態です。
5. 元気がなくなり、数日間食欲が全くない
深夜・早朝を問わず、おかしいと感じたら迷わず当院へお電話ください。

朗報!猫の肥大型心筋症に新たな治療の光が差し込む

猫の肥大型心筋症の進行を直接抑える薬は存在しませんでした。しかし、この状況に大きな変化が訪れています。

猫の肥大型心筋症に対する最新治療「ラパマイシン」のメカニズム図解。mTOR阻害作用により心筋の肥大を抑制し、心機能を維持するプロセスを視覚化。国内で唯一ラパマイシン処方を行う猫専門病院・こざわ犬猫病院による専門エビデンス資料。
猫の肥大型心筋症に対する最新治療

最新の研究で、モアイのイースター島で発見された、”ラパマイシン”という薬剤が、心臓の筋肉の肥大を抑制する効果を持つというエビデンス(科学的根拠)が示されました。この画期的な発見を受け、アメリカの動物薬品会社が臨床試験を開始。そして、ついに2025年3月14日付けで、FDA(アメリカ食品医薬品局)が猫の肥大型心筋症に対する”ラパマイシン”の使用を承認しました。

一般的に、このような新しい薬が正式に発売されるまでには5年程度の期間がかかります。しかし、この治療法への多くの要望と、その効果への期待から、アメリカでは早期承認されました。

当院では、この”ラパマイシン”の重要性をいち早く認識し、既に昨年から処方を開始しています。週に1回飲ませるだけです。

■”ラパマイシン”の臨床試験に関する詳細はこちらをご覧ください:https://www.hcmincats.com/halt

■FDAが猫の肥大型心筋症に”ラパマイシン’の使用を承認したPDF資料もご確認ください。

猫の心筋症について、ぜひご相談ください

猫の肥大型心筋症は、早期発見と適切な管理が非常に重要です。愛猫の健康診断で心臓の異常を指摘されたり、少しでも気になる症状(呼吸が速い、食欲がない、運動したがらないなど)が見られた場合にはご相談ください。

当院では、最新の情報を基に、愛猫に最適な猫の心筋症の治療法をご提案いたします。特に、”ラパマイシン’による新たな治療の選択肢について、詳しくご説明いたしますので、お気軽にお問い合わせください。

猫の血栓予防、その「苦い薬」だけで本当に足りていますか?

​猫の心筋症における血栓予防を啓発する動物病院のバナー画像。左側に心臓が赤く光る猫のシルエットがあり「当院の取り組み:猫の心筋症 血栓予防、本当に足りていますか?プラビックス単剤の有効性はわずか3〜4%」と問題提起している。右側には薬と盾のアイコンとともに、解決策としてプラビックス(クロピドグレル)とリバロキサバンを組み合わせた「二重処方(Dual Therapy)」を提示。「遺伝的耐性を超える、確実な守り。当院の標準治療です」と記載されている。
当院の猫の心筋症・血栓予防アプローチ:プラビックス単剤の限界を克服する「二重処方(プラビックス+リバロキサバン)」の導入について

​猫の心筋症において、血栓予防は命に関わる最優先事項です。しかし、一般的に処方されるプラビックス(クロピドグレル)は、猫の遺伝的体質により有効性がわずか3〜4%にとどまるという衝撃的な事実があります。

​苦い薬を毎日頑張って飲ませても、十分な効果が得られていない可能性があるのです。

​そのため当院では、プラビックスと「リバロキサバン」を組み合わせた二重処方を徹底しています。 遺伝的耐性の壁を越え、より確実な血栓予防を目指すのが当院の標準治療です。

​大切な家族を守るため、エビデンスに基づいた最善の選択を。現在の治療に不安がある方は、ぜひ当院へご相談ください。

目次

1猫の肥大型心筋症の原因

2猫の肥大型心筋症の症状

3猫の肥大型心筋症の診断方法

4猫の肥大型心筋症の治療薬

5猫の肥大型心筋症はどのくらい生きられますか?

6飼い主様がらやらなければいけないこと

猫の肥大型心筋症:関連NEWS

モアイのイースター島で発見された薬が猫を救うのか

1猫の肥大型心筋症の原因

猫の肥大型心筋症は心筋細胞のタンパク質をコードする遺伝子の変異によって引き起こされます。

猫の肥大型心筋症は、心臓ミオシン結合プロテイン C 遺伝子の 2 つの異なる遺伝子変異によって引き起こされます。
猫の肥大型心筋症は、進行するにつれて、心臓の機能が低下します。厚くなった心臓の壁は柔軟性が低下し、血液を満たすために十分に弛緩したり伸びたりすることができなくなります。

猫の肥大型心筋症好発 猫種

ショートヘア、メインクーン、スフィンクスなどの猫は、他の品種よりも突然死しやすい可能性があります。ノルウェージャン フォレスト キャットは、猫の肥大型心筋症と別のタイプの猫の拘束型心筋症の両方の特徴を持つ心筋症を患っています。

2猫の肥大型心筋症の症状

猫の肥大型心筋症は猫が生まれたときには存在しませんが、生後3か月以上の猫であればどの年齢でも発生する可能性があります、老年になるまで発症しないこともあります。

猫の肥大型心筋症と正常な心臓の比較図、および早期発見チェックリスト。心筋が分厚くなりポンプ機能が低下するメカニズムを図解。自宅で気づけるサインとして、安静時の呼吸が速い(1分間に40回以上)、口を開けて呼吸する開口呼吸(非常に危険)、疲れやすい・あまり動かないといった3つの異常を挙げ、直ちにかかりつけの動物病院へ受診するよう呼びかけています。
【保存版】猫の肥大型心筋症のサイン:愛猫が寝ている時の「呼吸数」を数えてみましょう。

■体液が肺毛細管から肺と胸腔に押し込まれ、肺水腫と胸水を引き起こします。

■心臓筋肉の肥厚が不整脈を引き起こし、突然死を引き起こすこともあります。

■大動脈内に血栓ができて、後脚への血流の遮断を引き起こし突然の麻痺や激しい痛みを引き起こし、死に至ります。

猫の肥大型心筋症は、進行するにつれて、心臓の構造と機能が変化します。

猫の肥大型心筋症 は、左心室が適切に弛緩できないことにあります。厚くなった左心室の壁は柔軟性が低下し、左心房からの血液を満たすために左心室が十分に弛緩したり伸びたりすることができなくなります。この異常な弛緩と伸展不能により、最終的には左心室の「上流」、つまり左心房と肺循環に血液が蓄積します。血液が逆流すると、体液が肺毛細管から肺と胸腔に押し込まれ、肺水腫と胸水を引き起こします
猫は重度になるまで、(食欲低下。呼吸困難、血栓塞栓性(血栓)などの症状)まで気が付かないことが多いです。

猫の肥大型心筋症は突然死を起こすます。

厚くなった心臓の筋肉が致死性の不整脈である心室頻拍性不整脈をおこし突然死すると考えれています。突然死の発生率は当初考えられていたよりも多く。研究では、猫の突然死亡の24%が猫の肥大型心筋症によることが解っています。先ほどまで元気そうに見えた猫が突然亡くなることがあります。

3猫の肥大型心筋症の診断方法

肥大型心筋症(HCM)により心陰影が著しく拡大した猫の胸部X線像(右横臥位)。心拡大により気管が上方に変位し、肺野全体には透過性の低下と、後葉を中心とした重度の肺胞パターン(白濁)が見られ、肺水腫を呈している。
肥大型心筋症による重度の心拡大と、それに伴う二次性肺水腫を発症した猫のX線写真。正常な肺野(黒い部分)が、水が溜まったことで白く濁り、呼吸が非常に苦しい状態です。
肥大型心筋症(HCM)が重症化し、うっ血性心不全から肺水腫を併発した猫の胸部X線画像(正面像)。両側の心房が著しく拡大する特徴的な「バレンタインハート」型の心拡大と、正常なら黒く抜けるはずの肺野全体が重度に白く濁る(肺胞パターン)肺水腫の所見が確認できます。
肥大型心筋症(HCM)による特徴的な心拡大と重度な両側性肺水腫の所見。このような状態では、直ちに酸素室(ICU)での救急治療が必要です。

猫の肥大型心筋症 の重症度は軽度から重度まであります。軽度から中等度の 肥大型心筋症 を患っている猫には、通常、臨床症状はありません。

■ 罹患した猫の 50% 未満に心雑音

健康な猫の約 3 分の 1 に雑音がありますので、猫の雑音を検出するだけで  猫の肥大型心筋症を診断することはできず、雑音の発見が必ずしも心臓病を示すわけではありません。猫では、心雑音に関連する基礎的な心臓病の発生率は 30 ~ 85% です。

■ 血液検査心臓バイオマーカーアッセイ

猫の肥大型心筋症 に対して最も優れた性能を示すバイオマーカーで、早期に見つけることができます。NT-proBNP が100 pmol/L 以上であれば 猫の肥大型心筋症 の猫を特定するのに 92% の感度と 94% の特異度で診断することができます。

■ 心臓の X 線写真、超音波による診断

超音波検査:心室中隔および左心室自由壁の拡張期肥厚(一番拡張しているとき)が 6 mm 以上(子猫の場合は5.5mm)の場合、猫の肥大型心筋症と診断されます。5.5 ~ 6 mm の値は疑いありで、定期的な検査が必要です。遺伝的になりやすいことがわかっている品種の場合は、現時点で陰性でも定期的に検査が必要です。

■ 除外診断

慢性の高血圧、甲状腺機能亢進症でも 心臓の筋肉が肥大しますので、同時に検査をしておく必要があります。

正常な猫の心臓レントゲン
正常な猫の心臓レントゲン
肥大型心筋症(HCM)の猫の胸部X線像(正面像)。左右の心房が著しく拡大し、心陰影が典型的な「バレンタインハート」(ハート型)を呈している。これは重度の心肥大と、それに伴とうっ血性心不全のリスクが高いことを示す重大な臨床所見。
愛猫の心臓が「ハート型」に?肥大型心筋症が進むと、心臓がこのように大きく腫れ上がります。呼吸困難を引き起こす前に、早急な検査が必要です。
肥大型心筋症(HCM)の猫の胸部X線画像(側臥位)。左心房の著しい拡大により、心陰影が特徴的な「アイスクリームコーン型」を呈している部分を白線で図解しています。心臓の上部(ベース部分)が丸く膨らみ、心尖部に向かって尖って見えるこの所見は、猫の心疾患および血栓症リスクを評価する上で極めて重要な診断基準です。
【側面からのX線像】猫の肥大型心筋症(HCM)に特徴的な「アイスクリームコーン型」の心陰影。上部の丸い膨らみは、左心房が異常に拡大していることを示しています。

■ 猫の肥大型心筋症遺伝子検査

メインクーン ラグドールは国内で遺伝子検査が可能です。👉猫肥大型心筋症 遺伝子検査

■ 有病率:どのくらいの数の猫が肥大型心筋症ですか

猫の肥大型心筋症はすべての猫の15 ~ 30% に達する可能性があり、非常に高い有病率ですが多くの症例は無症状です。最も罹患率が高いのは若い雄です。メインクーン猫では、オスとメスで発生率は同じです。オスは若い年齢でより重篤な傾向があります。

4猫の肥大型心筋症の治療薬

■ 猫の肥大型心筋症の治療薬

当院では2023年より 猫の肥大型心筋症の治療に”ラパマイシン”の週1回投与 処方を開始しました。
🔗遅延放出ラパマイシンは、潜在性猫肥大型心筋症における左室肥大の進行を阻害する:RAPACAT試験の結果

2025年3月14日付けで、FDA(アメリカ食品医薬品局)が猫の肥大型心筋症に対する”ラパマイシン”の使用を承認しました。

猫の肥大型心筋症に関するよくある質問(FAQ)

​Q. ラパマイシンはどんな猫にも処方できますか?

​A. 心臓の状態やステージ、腎機能などの全身状態を評価した上で判断します。特に初期〜中期の段階で導入することで、心筋肥大の進行を抑制する効果が期待しやすいと考えられています。

​Q. 診断されたら、あとどれくらい生きられますか?

​A. 状態によりますが、近年はラパマイシンを含む新しい治療選択肢の登場により、以前よりも良好な管理が可能になるケースが増えています。

​Q. ラパマイシンの副作用はありますか?

​A. 極めて低用量を使用するため一般的ではありませんが、消化器症状が現れる場合があります。獣医師の厳密な管理下での処方が不可欠です

進行を食い止め、合併症を防ぐために

1. 従来の治療(クロピドグレル)の限界と「耐性」の問題

​これまで、血栓予防の主役は抗血小板薬である**クロピドグレル(プラビックス)でした。しかし、近年の研究により、猫においてクロピドグレル単剤での効果は限定的であることがわかってきました。さらに、継続使用によって耐性(薬が効かなくなる現象)**が生じ、十分な予防効果が得られないケースがあることも明らかになっています。

​2. 最新の「二重療法」:リバロキサバンの必須性

​現在、血栓症のリスクが高い猫ちゃんに対しては、従来のクロピドグレルに**リバロキサバン(直接経口抗凝固薬/DOAC)を組み合わせる「二重療法」**が、医学的に不可欠な戦略となっています。

猫の血栓症予防「二重療法」の解説図。抗血小板薬クロピドグレルと抗凝固薬リバーロキサバンを組み合わせ、薬剤耐性を防ぎ発症リスクを最小限にする最新の予防戦略。名古屋・愛知・岐阜・三重エリアで猫の循環器治療に注力する動物病院向け。
【名古屋周辺の飼い主様へ】猫の血栓予防、その「単剤治療」で十分ですか? ​「心筋症と診断され、血栓予防のお薬を飲んでいるから安心」 ……実は、それだけでは不十分なケースがあることが近年の研究で明らかになっています。 ​1. 従来の治療(クロピドグレル)の限界と「耐性」 これまで主役だった**クロピドグレル(プラビックス等)**ですが、実は猫ちゃんによっては継続使用で「耐性(薬が効かなくなる現象)」が生じ、十分な効果が得られないことがあるのです。 ​2. 最新の「二重療法」という選択 そこで、今の医学において不可欠となっているのが、クロピドグレルに**リバロキサバン(直接経口抗凝固薬)を組み合わせる「二重療法」**です。 ​2つの異なるルートから血栓を強力にブロックすることで、耐性を防ぎ、発症リスクを最小限に抑えます。 ​愛知・岐阜・三重で「心臓病の管理をより万全にしたい」と願う飼い主様。 大切な家族の未来を守るために、エビデンスに基づいた当院の「二重療法」を検討してみませんか?

​リバロキサバンの役割: 抗血小板薬とは異なる経路(凝固因子の直接抑制)で、血の塊が作られるのを強力にブロックします。

​併用の相乗効果: メカニズムの異なる2種類の薬を重ねることで、クロピドグレルの耐性の問題をカバーし、血栓症の発症・再発リスクをより確実に低減させることが期待されています。

​最新の併用療法: これらの治療にラパマイシンを組み合わせることで、心臓の構造的な悪化そのものにアプローチし、より長期的な予後の改善を目指します。

■ 猫の肥大型心筋症の合併症の治療

うっ血性心不全の治療、動脈血栓塞栓症の予防をおこないます

5猫の肥大型心筋症はどのくらい生きられますか?

猫の肥大型心筋を患う猫の予後は非常に多様です。一部の猫は軽度の肥大しか発症せず、心臓機能の低下がほとんどない場合がありますが、重度の病気に進行する猫も多いです。 猫の肥大型心筋 は急速に悪化する場合もあれば、数年かけてゆっくりと進行する場合もあります。重症度は何年も変化せず、突然悪化する場合があります、心臓病の臨床症状がなかったにもかかわらず突然死亡する場合があります。
軽度の猫は、何年にもわたって通常の生活を楽しむことができます。ただし、重度の肥大型心筋に罹った場合、うっ血性心不全を発症するリスクが高くなります。うっ血性心不全は進行するにつれて管理が困難になります。うっ血性心不全を患った猫の予後はよくありません。うっ血性心不全になった猫の生存期間は診断後12~18か月です。

6猫の肥大型心筋症の飼い主様がらやらなければいけないこと

■毎日睡眠時呼吸数を測定

毎日睡眠時呼吸数を測定(通常は1分間に 30 回)してログをとってください。睡眠時呼吸数が増加したら直ぐに病院に連絡してください。
👉睡眠時呼吸数測定 方法

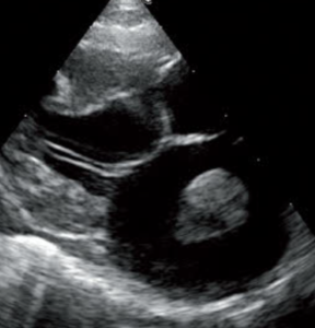
肥大型心筋症(HCM)が進行した猫の心エコー(超音波検査)画像。著しく拡大した左心房内に、巨大な血栓(白く丸い塊)が形成されている様子が鮮明に確認できます。この血栓が大動脈に流出すると、後ろ足の麻痺や激痛を伴う致死的な猫大動脈血栓塞栓症(FATE)を引き起こす極めて危険な状態を示しています。
【心エコー検査像】猫の肥大型心筋症:拡大した左心房内に形成された巨大な血栓(白い塊)。これが血流に乗って流れると、非常に危険な血栓症を引き起こします。

■猫の血栓塞栓症の予防

猫の肥大型心筋症の 12% は、診断から 10 年以内に 血栓症 を発症します。

猫の肥大型心筋症の合併症である血栓症を罹患した猫 250 匹を対象とした研究では、最初の来院時に 153 匹(61.2%)が安楽死させられ、24 時間以上生存したのはわずか 27.2% でした。心筋症の進行を抑えることは出来ませんが 血栓症の発症を予防することは出来ます。

二重経路阻害の相乗効果 (DAT療法)

心筋症と診断されたら必ず 血栓形成を軽減する薬 プロピログレル+リバーロキサバン2剤 を投与してください。
特にリバロキサパン苦くなく、猫に飲ませやすい薬ですので、プロピログレルが苦くて飲めない猫にはリバロキサパンだけ飲ませて下さい。リバロキサパン単体はプロピログレル単体と効果は変わりません。当院では2剤を1カプセルに入れて 猫ちゃんが飲みやすい形で処方しております

猫における抗凝固薬リバーロキサバン(RVX)の使用と安全性に関する研究データの解説スライド。1日〜30日間の投与で良好な忍容性を示し、血清化学検査およびCBC値に変化がなく、出血の兆候もないことを記載。Dixon-Jimenezらの論文(JVECC 2016;26:619)に基づき、用量(1.25mg、2.5mg、5mg)ごとの時間経過に伴う血中濃度グラフと、RVX用量と抗Xa活性の相関を示す散布図(R=0.66、P<0.001)を掲載しています。
​猫の血栓予防薬「リバーロキサバン」の安全性データ:従来の抗凝固薬で懸念された出血のリスクが極めて低く、猫ちゃんの体への負担が少ないことが実証されています(Dixon-Jimenezら, JVECC 2016)。

猫におけるリバーロキサバンの安全性

  • 良好な忍容性

  • 血清化学検査およびCBC値に変化なし

  • 出血の兆候なし

猫における血小板機能および血小板依存性トロンビン生成に対するクロピドグレルとリバーロキサバンの相乗阻害効果PMCID: PMC10365033 PMID: 37208839

【名古屋市近郊で、最新の心筋症治療をご希望の方へ】

​当院では、従来のガイドラインに基づいた治療に加え、ラパマイシン(mTOR阻害剤)を用いた最新の治療管理についてもご相談を承っております。

「心筋症と診断されたが、他にできることはないか」「最新の研究に基づいた治療を受けさせたい」とお考えの飼い主様は、ぜひ一度こざわ犬猫病院へご相談ください。

猫の肥大型心筋症に関するよくある質問(FAQ)
Q. 最新薬「ラパマイシン」はどのように効くのですか?(ラパマイシンの有効性)

A. 2025年3月にFDA(米国食品医薬品局)より条件付き承認されたラパマイシン(シロリムス)は、心筋の異常な増殖を引き起こすmTORC1という経路を直接ブロックします。これにより、これまでの薬では不可能だった「厚くなった心筋そのものを薄くする(退縮させる)」効果や、進行の抑制が期待されています。当院では週1回の投与による最新のプロトコルを採用しています。

Q. 血栓予防にはプラビックスだけで十分ですか?(リバロキサバンの必要性)

A. 近年の研究で、従来のクロピドグレル(プラビックス)単剤では予防効果が不十分なケースや、使用を続けるうちに「耐性」が生じて効果が落ちる可能性が明らかになりました。そのため、現在はリバロキサバンを組み合わせた「二重療法(DAT)」を行うことで、致死的な大動脈血栓塞栓症(後ろ足の麻痺など)の発症リスクをより強力に、かつ安定して抑えることが推奨されています。

Q. 心雑音がないと言われましたが、安心してもいいですか?

A. 猫の場合、深刻な心筋症があっても50%以上の症例で心雑音が聞こえないため、聴診だけでは安心できません。メインクーンやラグドール、スコティッシュフォールドなどの好発品種はもちろん、全ての猫種において「心エコー検査」による正確な心機能評価が早期発見の鍵となります。

Q. 自宅での投薬で注意すべきポイントは?

A. 投薬後には、必ず5ml程度の水や少量の食事を与えてください。猫は投薬から5分経っても60%のケースで薬が食道に停滞しているという報告があり、食道炎や食道狭窄のリスクを避けるために確実に胃へ送り届ける必要があります。また、リバロキサバンは食後に投与することで吸収率が安定します。

猫の心筋症に関する参考文献一覧

本記事は、以下の学術論文や専門家の発表を参考に執筆しました。
【心筋症の一般概念と診断】

  • Kittleson, M.D., Kienle, D.R. (1998). 小動物心血管医学. Mosby.
  • Kittleson, M.D., Côté, E. (2021). 猫の心筋症:1. 一般概念. J Feline Med Surg. 23(11):1009-27.
  • Kittleson, M.D., Côté, E. (2021). 猫の心筋症:2. 肥大型心筋症. J Feline Med Surg. 23(11):1028-51.
  • Wagner, T., Guentes, V.L., Payne, J.R., et al. (2010). 健康な成猫における聴診と心エコー図所見の比較. J Vet Cardio. 12(3):171-85.
  • Paige, C.F., Abbott, J.A., Elvinger, F., et al. (2009). 一見健康な猫における心筋症の有病率. J Am Vet Med Assoc. 243(11):1398-1403.
  • Cote, E., Manning, A.M., Emerson, D. (2004). 明らかに健康な猫における心雑音の有病率の評価. J Am Vet Med Assoc. 225(3):384-8.
  • Nakamura, R.K., Rishniw, M., King, M.K., et al. (2011). 心雑音を有する一見健康な猫における心疾患のエコー図学的所見の有病率. J Feline Med Surg. 13(4):266-71.
  • Trehiou-Sechi, E., Tissier, R., Gouni, V., et al. (2012). 5種類の猫における肥大型心筋症の心エコー図と臨床的特徴の比較:344症例(2001~2011年)の回顧的解析. J Vet Intern Med. 26(3):532-41.

【心筋症の遺伝子学と特定の猫種】

  • Meurs, K.M., Sanchez, X., David, R.M., et al. (2005). 家族性肥大型心筋症を呈するメインクーン猫における心筋ミオシン結合タンパク質Cの変異. Hum Mol Genet. 14(23):3587-93.
  • Meurs, K.M., Norgard, M.M., Ederer, M.M., et al. (2007). Genomics. 90(2):261-64.
  • Fries, R., Heaney, A.M., Meurs, K.M. (2008). メインクーン猫におけるミオシン結合タンパク質C変異の有病率. J Vet Intern Med. 22(4):893-93.
  • Longeri, M., Ferrari, P., Knafelz, P., et al. (2013). 飼い猫におけるミオシン結合タンパク質CのDNA変異体(A31P, A74T, R820W)と肥大型心筋症との関連性. J Vet Intern Med. 27(2):275-85.
  • Godiksen, M.T., Granstrom, S., Koch, J., et al. (2011). p.A31P cMyBP-C変異によって引き起こされる若いメインクーン猫の肥大型心筋症 ― この変異を持つことの臨床的意義. Acta Vet Scand. 53:7.
  • Sampedrano, C., Chetboul, V., Mary, J., et al. (2009). ミオシン結合タンパク質C遺伝子のA31P変異を検査したメインクーン猫の集団に対する前向き心エコー図法および組織ドップラー画像診断スクリーニング:ヘテロ接合性状態の特異的分析. J Vet Intern Med. 23(1):91-99.
  • Kittleson, M.D., Meurs, K.M., Munro, M.J., et al. (1999). メインクーン猫の家族性肥大型心筋症:ヒト疾患の動物モデル. Circulation. 99(24):3172-80.
  • Borgeat, K., Casamian-Sorrosal, D., Helps, C., et al. (2014). ラグドール猫236匹を対象とした調査におけるミオシン結合タンパク質C3変異(MYBPC3 R820W)と心臓死との関連性. J Vet Cardiol. 16(2):73-80.
  • März, I., Wilkie, L.J., Harrington, N., et al. (2015). ノルウェージャンフォレストキャットの家族性心筋症. J Feline Med Surg. 17(8):681-91.
  • Doreste, Y.R., Stern, J.A., Meurs, K.M. (2013). スフィンクス猫における肥大型心筋症変異の候補遺伝子5種の解析. ACVIMフォーラム2013議事録.
  • Meurs, K.M., Williams, B.G., DeProspero, D., et al. (2021). スフィンクス猫の肥大型心筋症の自然発生モデルにおけるALMS1遺伝子の有害変異. Orphanet J Rare Dis. 16(1):108.
  • Amberger, C., Mottet, E., Brizard, E., et al. (2014). スフィンクス猫の肥大型心筋症:遺伝学的側面、臨床的進展、心エコー図および形態計測所見 – 172症例. ACVIMフォーラム2014議事録.

【熱中症と高血圧の同時管理】

  • Stern, J. (2019). 肥大型心筋症と高血圧または甲状腺機能亢進症の同時管理. AAFP.

【心筋症の治療と予後】

  • MacDonald, K.A., Kittleson, M.D., Larson, R.F., et al. (2006). 心不全を伴わない家族性肥大型心筋症のメインクーン猫におけるラミプリルの左室重量、心筋線維化、拡張機能、および血漿神経ホルモンへの影響. J Vet Intern Med. 20(5):1093-05.
  • MacDonald, K.A., Kittleson, M.D., Kass, P.H., et al. (2008). 家族性肥大型心筋症を有するメインクーン猫におけるスピロノラクトンによる拡張機能および左室重量への影響. J Vet Intern Med. 22(2):335-41.
  • Jung, S.W., Kittleson, M.D. (2011). 肥大型心筋症による重度の左室肥大を伴う無症候性猫におけるアテノロールのNT-proBNPおよびトロポニンへの影響:パイロットスタディ. J Vet Intern Med. 25(5):1044-49.
  • Schober, K.E., Zientek, J., Li, X., et al. (2013). アテノロール治療による前臨床(無症候性)肥大型心筋症の猫の5年生存率への影響. J Vet Cardiol. 15(2):93-104.
  • Reina-Doreste, Y., Stern, J.A., Keene, B.W., et al. (2014). 肥大型心筋症およびうっ血性心不全を患う猫におけるピモベンダンの生存期間への影響に関する症例対照研究. J Am Vet Med Assoc. 245(5):534-49.
  • Payne, J.R., Borgeat, K., Connolly, D.J., et al. (2013). 肥大型心筋症の猫における予後指標. J Vet Intern Med. 27(6):1427-36.

【血栓症の治療】

  • Hogan, D.F., Fox, P.R., Jacob, K., et al. (2015). 猫における心原性動脈血栓塞栓症の二次予防:二重盲検ランダム化ポジティブコントロール猫動脈血栓塞栓症;クロピドグレル対アスピリン試験(FAT CAT). J Vet Cardiol. 17(Suppl 1):S306-17.
  • Killingsworth, C.R., Eyster, G.E., Adams, T., et al. (1986). 実験的に誘発された大動脈血栓症を呈する猫に対するストレプトキナーゼ治療. Am J Vet Res. 47(6):1351-59.

【肺超音波検査】

  • Lisciandro, G.R. (2015). 小動物の肺超音波検査:The vet BLUE. ACVIM.
  • DeFrancesco, T. (2019). 肺超音波検査:心臓専門医の新しい友人. ACVIM.
  • Ward, J.L., Lisciandro, G.R., Keene, B.W., et al. (2017). 急性呼吸困難を伴う犬・猫の心原性肺水腫診断におけるPOC肺超音波検査の精度. J Am Vet Med Assoc. 250(6):666-675.
  • 堀 勇, 山下 勇, 榊原 功, et al. (2020). 犬の心原性肺水腫の診断における心膜肺超音波検査の有用性. Am J Vet Res. 81(3):227-232.

【その他】

  • Alcalai, R., Seidman, J.G., Seidman, C.E. (2008). 肥大型心筋症の遺伝学的基礎:実験室から臨床へ. J Cardiovasc Electrophysiol. 19(1):104-10.
  • Meurs, K.M., Norgard, M.M., Kuan, M., et al. (2009). 肥大型心筋症の猫における肥大型心筋症変異の8つのサルコメア候補遺伝子の解析. J Vet Intern Med. 23(4):840-43.
  • Langhorn, R., Tarnow, I., Willesen, J.L., et al. (2014). 肥大型心筋症の猫における予後マーカーとしての心筋トロポニンIおよびT. J Vet Intern Med. 28(5):1485-91.
  • Levine, R.A., Vlahakes, G.J., Lefebvre, X., et al. (1995). 乳頭筋の変位は僧帽弁の収縮期前方移動を引き起こす. Circulation. 91(4):1189-95.
  • Campbell, F.E. (2013). 心臓疾患と検査. 世界小動物獣医師会世界会議議事録

関連NEWS

モアイのイースター島で発見された薬が猫を救うのか?

遅延放出”ラパマイシン”は無症状の猫肥大型心筋症における左心室肥大の進行を阻止:RAPACAT試験の結果

著者の原稿。 PMC 2024 3 29 で利用可能になります。
最終的に編集された形式で次のように公開されます。

2023 年 7 月 26 日オンラインで公開

猫肥大型心筋症(HCM)は依然として治療の進歩がほとんどない疾患です。ラパマイシンは mTOR 経路を調節し、げっ歯類疾患モデルにおける心肥大を予防および逆転させます。ヒト同種腎移植患者におけるその使用は、心臓壁厚の減少と関連している。私たちは、無症状の非閉塞性HCMを持つ猫の心エコー検査、生化学、およびバイオマーカー反応に対する週1回の遅延放出(DR)”ラパマイシン”の6か月にわたる効果を評価しました。

結論として、この研究は、DR ラパマイシンが、LV 肥大の進行を予防または遅延させる可能性がある無症候性ネコ HCM の治療の継続研究にとって有望な新薬であることを示しました

2025/3/14付け最新情報

遂にFDA(アメリカ食品医薬品局)が3月14日に猫の心筋症に対するラパマイシンの使用を承認しました

FDAが猫の心筋症にラパマイシンの使用を承認 

FDA NEWS PDF

「この記事の監修:院長 小澤 賢記(獣医師)ISFM猫国際医学会ゴールド認定 猫の病院バステト院院長

猫のかぜ(猫風邪)

猫の大動脈血栓塞栓症

猫伝染性腹膜炎 

 

TOP